Dermatologie
Basalzellkarzinom (BCC)
Verstehen und Behandeln der häufigsten Form von Hautkrebs
Das Basalzellkarzinom (BCC) ist die häufigste Form von Hautkrebs, verursacht hauptsächlich durch langjährige Sonnenexposition. Obwohl es langsam wächst und selten metastasiert, ist eine frühzeitige Erkennung entscheidend, um Schäden am umliegenden Gewebe zu vermeiden.


Handeln Sie rechtzeitig
Wenn Sie sich Sorgen über eine anhaltende Hautveränderung oder einen ungewöhnlichen Knoten machen, zögern Sie nicht. Klicken Sie auf das WhatsApp-Symbol oben, um einen Termin zu vereinbaren, oder besuchen Sie Ihren vertrauenswürdigen Dermatologen. In der German Clinic setzen wir den Fotofinder-Dermatoskop für hochpräzise Hautaufnahmen ein und bieten Ihnen eine sichere Diagnose und ein beruhigendes Gefühl. Früherkennung ist entscheidend.
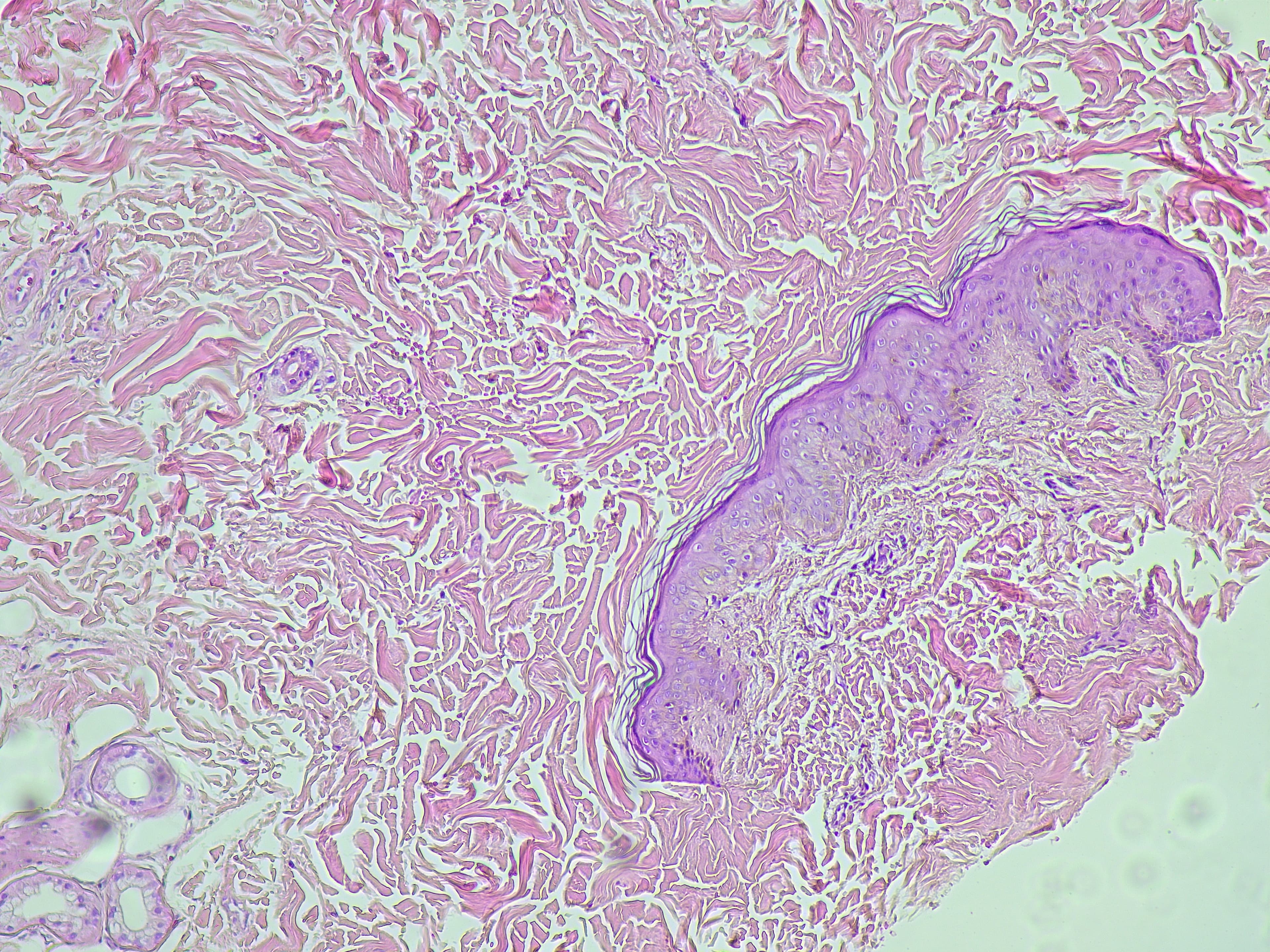
Was ist ein Basalzellkarzinom (BCC)?
Das BCC entwickelt sich in den Basalzellen, die für die Bildung neuer Hautzellen verantwortlich sind. Es handelt sich um die häufigste, aber am wenigsten aggressive Form von Hautkrebs, die bevorzugt in sonnenexponierten Bereichen wie Gesicht, Kopfhaut, Ohren und Nacken auftritt.
Anzeichen & Symptome eines BCC
Frühes Erkennen von BCC kann die Behandlungsergebnisse deutlich verbessern. Typische Symptome sind:
- Ein perliger oder wachsartiger Knoten, oft mit sichtbaren Blutgefäßen.
- Eine rote, schuppige Stelle, die jucken oder gereizt sein kann.
- Eine Wunde, die immer wieder blutet, verkrustet und sich neu öffnet.
- Eine narbenartige, weiße, wachsartige Hautveränderung ohne klare Begrenzung.
Wie Dermatologen BCC diagnostizieren
Unsere Dermatologen nutzen moderne Diagnoseverfahren zur Beurteilung von Hautveränderungen und zur Bestätigung eines BCC. Zu den Methoden gehören:
- Dermatoskopie – Vergrößerte Hautuntersuchung zur Beurteilung von Strukturen und Mustern.
- Fotofinder-Untersuchung – Hochauflösende Bildgebung zur Langzeitbeobachtung von Hautveränderungen.
- Hautbiopsie – Entnahme und Analyse einer kleinen Gewebeprobe im Labor.
Was verursacht ein BCC?
Ein Basalzellkarzinom wird hauptsächlich durch langfristige UV-Strahlung verursacht – sei es durch Sonnenlicht oder Solarien. Weitere Risikofaktoren sind:
- Helle Haut, helle Haare und blaue oder grüne Augen.
- Übermäßige Sonnenexposition ohne ausreichenden Sonnenschutz.
- Ein geschwächtes Immunsystem aufgrund von Erkrankungen oder Medikamenten.
- Alter und genetische Veranlagung – ältere Menschen sind stärker gefährdet.

Wie wird BCC behandelt?
Die geeignete Behandlung richtet sich nach Größe, Lage und Schweregrad des BCC. Übliche Methoden sind:
- Chirurgische Exzision – Entfernung des Tumors mit einem Sicherheitsrand gesunder Haut.
- Kryotherapie – Vereisung kleiner BCCs mit flüssigem Stickstoff.
- Elektrochirurgie & Kürettage – Ausschabung und Verödung oberflächlicher Läsionen.
- Topische Medikamente – Für frühe BCC-Stadien oder wenn eine Operation nicht möglich ist.
Wann sollten Sie einen Dermatologen aufsuchen?
Vereinbaren Sie eine Untersuchung, wenn Sie bemerken:
- Einen Knoten, eine Läsion oder eine Wunde, die nicht heilt.
- Eine Hautstelle, die irritiert, verkrustet oder blutet.
- Eine neue glänzende, perlige oder rosa Hautveränderung.
- Eine Veränderung in Größe, Form oder Farbe einer Hautstelle.
- Eine familiäre Vorgeschichte von Hautkrebs oder starke Sonnenexposition.
Vorbeugung von Basalzellkarzinomen
Auch wenn einige Risikofaktoren nicht beeinflussbar sind, kann das Risiko durch folgende Maßnahmen deutlich gesenkt werden:
- Tägliche Anwendung von Sonnenschutzmitteln (SPF 30 oder höher), auch an bewölkten Tagen.
- Meidung intensiver Sonnenstrahlung zwischen 10 und 16 Uhr.
- Tragen von Hüten, Sonnenbrillen und schützender Kleidung im Freien.
- Verzicht auf Solarien, da sie schädliche UV-Strahlung abgeben.
- Regelmäßige Hautkrebsvorsorgeuntersuchungen bei einem Dermatologen.
Termin vereinbaren
Wir möchten Ihnen die Verwaltung Ihrer Gesundheitsversorgung erleichtern. Bitte füllen Sie das untenstehende Formular aus, um einen Rückruf zur Terminvereinbarung zu erhalten.
Adresse & Kontaktdaten
- German Clinic
- Al Razi Medical Complex 64
- Gebäude Block E, Erdgeschoss, Einheit 7-2R
- Dubai Healthcare City, Dubai UAE
- Tel-1 : +971 444 876 83
- Mobil-1 (Rezeption) : +971 50 494 3700
- Mobil-3 (Russisch) : +971 508 506 556
- E-Mail: info@germanclinic.ae
Öffnungszeiten
- Samstag:10:00 - 20:00 Uhr
- Sonntag:10:00 - 20:00 Uhr
- Montag:10:00 - 20:00 Uhr
- Dienstag:10:00 - 20:00 Uhr
- Mittwoch:10:00 - 20:00 Uhr
- Donnerstag:10:00 - 20:00 Uhr
- Freitag:10:00 - 20:00 Uhr
- Feiertage:Geschlossen
